Ин витро оплождане
Ин витро е процес, при който се изваждат яйцеклетки от яйчниците на жената, оплождат се от сперматозоиди на мъжа в лабораторни условия, оплодените яйцеклетки се отглеждат няколко дни до развитието на ембриони, които се пренасят в матката на жената.
Техника за идентифициране на сперматозоиди с понижена ДНК фрагментация за ИКСИ
Публикувано на: 08.03.2010 Техника за свързване на хиалуронова киселина спомага за идентифициране на сперматозоиди с понижена Д...
ПовечеИн витро или "бебе в епруветка"
Публикувано на: 11.04.2009 Какво е ин витро оплождане и ембриотрансфер ?Това е последователен процес, при който се взе...
ПовечеЕмбриотрансфер: техники и фактори, засягащи успеха
Публикувано на: 18.03.2008 Ембриотрансферът изисква съвместните усилия на репродуктивния биолог и лекуващия лекар. Без здрави з...
ПовечеКлинка „Д-р Щерев” - първото бебе от „изкуствена матка” (кокултивиране) в България
Публикувано на: 26.02.2008 Д-р Таня Тимева, акушер-гинеколог, Медицински директор на САГБАЛ „Д-р Щерев”. От 10 годин...
ПовечеРоди се първото в България бебе, заченато чрез ин-витро матурация
Публикувано на: 26.02.2008 На 20 февруари 2008 година, в София се роди първото у нас бебе, заченато чрез новия метод ...
ПовечеТехниката на замразяване „витрификация”
Публикувано на: 24.02.2008 Новата техника на замразяване, наречена „витрификация” избягва вредите причинени от образуването на ...
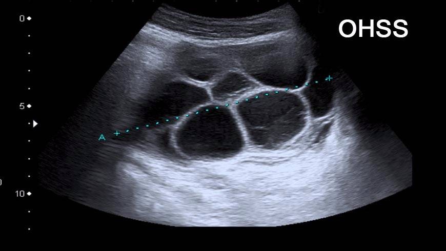
ПовечеСиндром на яйчниковата хиперстимулация
Публикувано на: 23.02.2008 Синдромът на яйчниковата хиперстимулация (Ovarian hyperstimulation syndrome - OHSS) е свръхреакция к...
ПовечеИн Витро фертилизацията (IVF)
Публикувано на: 09.01.2007 Ин витро процедурата: Бебе в епруветкаIVF (ин витро) означава фертилизация (оплождане) извън човешко...
ПовечеИн Витро (IVF): изследвания, формуляри, преценка
Публикувано на: 09.01.2007 Ин витро (IVF) процедурата: Предварителни изследванияКогато се обърнете към ин витро (IVF) клиника з...
ПовечеИн Витро (IVF): индукция на овулацията
Публикувано на: 09.01.2007 Ин витро (IVF) процедурата: Индукция на овулациятаИндукцията на овулацията представлява изкуствено п...
Повече