К. Александров, В. Маркова, Г. Козовски, М. Андонов, Е. Ковачев
При лечение на инфертилитета причинен от хидросалпинкс чрез асистирана репродукция ние преминахме изцяло към лапароскопска салпинкектомия на поразените маточни тръби преди IVF - ET. Този подход доведе до отлични резултати – 80% клинична бременност. Според нас хирургическото лечение и асистираната репродукция трябва да се допълват, а не да се конкурират
Хидросалпинксът е краен резултат от обструкция на абдоминалния отвор на маточните тръби с последваща дилатация на ампуларния сегмент поради натрупване на бистра, стерилна течност.
Най–честата причина е тазово възпалителна болест от Chlamidia trachomatis и гонореа. Според тежестта на стеснение на абдоминалния отвор се различават 4 степени на хидросалпинкс :
фимоза (конглутинация) на фимбриалните лигавични гънки и проходимост на маточните тръби при повишено налягане на контрастната материя;
пълна дистална оклузия при нормален диаметър на ампуларния сегмент;
пълна дистална оклузия с дилатация на ампуларния сегмент от 15 mm до 25 mm в диаметър;
ампуларен сегмент над 25mm в диаметър - т. нар. Hydrosalpinx simplex.
По време на хирургическа интервенция се откриват два вида хидросалпинкс – тънкостенен и дебелостенен.
При тънкостенния тръбата е силно дилатирана и изпълнена с бистра течност, което и дава прозрачен вид.
При дебелостенния тръбата изглежда зачервена, непрозрачна, луменът е тесен и съдържа малко количество течност. Този вид на маточните тръби е свързан с хроничен възпалителен процес. Хирургическото лечение на дебелостенен хидросалпинкс чрез неосалпингостомия е абсолютно безплодно (6.).
Материали и методи
Анализирахме пациентките с хидросалпинкс лекувани чрез IVF-ET в центъра за асистирана репродукция от 1996 до края на 2003 година.
Пациентките бяха разделени на две групи:
I. пациентки лекувани чрез IVF-ET при наличие на хидросалпинкс (едностранен или двустранен) доказан рентгенографски чрез ХСГ и/или лапароскопия.
II. пациентки с хирургически отстранен хидросалпинкс с последващ IVF-ET.
Хирургическият метод за отстраняване на хидросалпинкса е чрез лапароскопия.
След създаване на пневмоперитонеум до 12 mmHg се въвеждат 3 троакара – един умбиликален от 10 mm за оптиката и два супрапубични от 5 mm за инструменти. След освобождаване на маточните тръби от срастванията със съседните органи чрез биполярна коагулация на мезосалпинкса и последващото му прерязване се отстранява тръбата в максимална близост до матката. Следва екстирпация на хидросалпинкса през 10 mm троакар .
Накратко IVF процедурата се провежда чрез блокиране на хипофизата с GnRH агонист по дългия протокол и КОХ с уринарни или рекомбинантни гонадотропни хормони, инжектиране на 10 000 IU HCG и аспирация на яйцеклетките след 34 – 36 h. На 3 ден от пункцията се трансферират до 3 ембриона в кухината на матката. За поддръжка на лутеалната фаза се прилага Utrogestan .
Резултати
От 1996 до края на 2003 са извършени 416 цикъла. От тях 35 са поради индикация хидросалпингс ( I група пациентки). От тази група е забременяла само 1 пациентка след IVF-ET ( 2,8 %). Останалите 34 ( 97,2 % ) пациентки не са забременели, като 19 от тях са направили и втори също неуспешен IVF опит. След като негативния ефект на хидросалпингса върху имплантацията на ембрионите при IVF бе категорично доказан ( 5,7,8,10,11,13,14,15) от 2001 г. задължително отстраняваме хидросалпинксите, преди започване на IVF цикъл ( II група ). Тази група включва 10 пациентки, от които 8 забременяха ( 80 % клинична бременност ), като 6 завършиха с раждане на 1 или 2 доносени деца и 1пациентка е бременна в момента, а 1 абортира на 8 г. с.
Обсъждане
Нашите резултати потвърждават отрицателното въздействие на комунициращия хидросалпинкс върху имплантацията на ембрионите.
Съществуват две основни хипотези обясняващи този факт. Едната предполага механично “измиване” на ембрионите, поради рефлукс на хидросалпинксна течност към кухината на матката. В подкрепа на тази хипотеза идва факта, че след аспирация на ехографски установена течност от кухината на матката (hydrometra) непосредствено преди ET при жени с хидросалпинкс, тази течност реакумулира до два часа след нейната аспирация (Hinckley et al. 2003 ).
Втората хипотеза обяснява негативния ефект на чрез намаляване рецептивността на ендометриума и токсичния ефект върху ембрионите.
Поведението при хидросалпингс все пак остава противоречиво. Въпреки, че нивото на вътрематочна бременност остава много ниско при неосалпингостомия, тази операция може да се извърши при строго селектирани пациентки, например такива с двустранен тънкостенен хидросалпинкс от 1 или 2 степен при запазени лигавични гънки на ендосалпинкса ( ХСГ или салпингоскопия ).
За останалите случаи ние препоръчваме тотална екстирпация на маточните тръби преди асистираната репродукция. Резултатите ни са в потвърждение на това поведение .
![]() |
![]() |
|
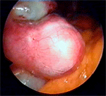
Дебелостенен хидросалпинкс
|
Коагулация на мезосалпинкса и последващата му резекция
|
![]() |
![]() |
|
Напълно отделена от мезосалпинкса маточна тръба
|
Екстракция на отделената маточна тръба през десет милиметров троакар
|
К. Александров, В. Маркова, Г. Козовски, М. Андонов, Е. Ковачев
Катедра “ Акушерство и гинекология “, МУ – Варна
СБАГАЛ-Варна-ЕООД, ВАРНА, БЪЛГАРИЯ
Бул. “ Цар Освободител “ 150
e-mail: Този имейл адрес е защитен от спам ботове. Трябва да имате пусната JavaScript поддръжка, за да го видите.
Книгопис:
1. Aboulghar M. A., Mansour R. T. and Serour G. I. ( 2002 ) Spontaneous intrauterine pregnancy following salpingectomy for a unilateral hydrosalpinx. Hum. Reprod., 17,1099-1100.
2. Andersen A.N., Lindhart A, Loft A., Ziebe S., Andersen C.Y. (1996) The infertilepatient with hydrosalpinges – IVF with or without salpingectomy ? Hum. Reprod.; 11:2081 – 4.
3. ASMR and Society of Reproductive Surgeons.A practice committee report: a committee opinion .Salpingectomy for hydrosalpinx prior to IVF. Birmingham (AL ): ASMR, 2001.
4. Camus E., Poncelet C., Goffinet F., Wainer B., Merlet F., Nisand I. and Philipe H.J. Pregnancy rates after IVF in cases of tubal infertility with and without hydrosalpinx: a meta-analysis of published comparative studies. Hum. Reprod, 14 ,1243-1249.
5. Cohen M. A., Lindheim S.R. and Saner M.V. (1999) Hydrosalpinges adversely affect implantation in donor oocyte cycles. Hum. Reprod. 14, 1087-1089.
6. Dubuisson J.B., Chapron C., Morice P. et al.(1994) Laparoscopic salpingostomy: fertility results according to the tubal mucosa appearance. Hum. Reprod., 9, 334-339.
7. Fleming C. and Hull M. G. (1996) Impaired implantation after IVF treatment associated with hydrosalpinx. Br. J. Obstet. Gynecol. 103, 268-272.
8. Granot I., Dekel N., Segal I., Fieldust S., Shoham Z. and Barash A. (1998)Is hydrosalpinx fluid cytotoxic ? Hum. Reprod. 13, 1620-1624 .
9. Johnson N. P., Mak W. and Sowter M. C. (2002) Laparoscopic salpingectomy for women with hydrosalpinges enhances the success of IVF : a Cochrane riview. Hum. Reprod., 17, 543-548.
10. Kassabji M., Sims I. A., Butler L. and Muasher S.J. (1994) Reduced pregnancy outcome in patients with unilateral or bilateral hydrosalpinx after IVF. Eur. J. Obstet. Gynecol. Reprod. Biol., 56,129-132.
11. Katz E., Akman M.A., Damewood M.D. and Garsia J.E. (1996) Deleterious effect of the presence of hydrosalpinx on implantation and pregnancy rates with IVF. Fertil. Steril., 66, 122-125
12. McComb P.F. and Taylor R. C. (2001) Pregnancy outcome after unilateral salpingectomy with a contralateral patent oviduct. Fertil. Steril, 76, 1278-1279.
13. Murray D. L., Sagoskin A. W., Widra E. A and Levy M. J. (1998) The adverse effect of hydrosalpinges on IVF pregnancy rates and the benefit of surgical correction. Fertil. Steril., 69, 41-45.
14. Nackley A. C. and Muasher S. J. (1998) The significance of hydrosalpinx in IVF. Fertil. Steril, 69, 373-384.
15. Strandell A., Lindhard A., Waldenstrom U and Thorburn J. (2001) Hydrosalpinx and IVF outcome cumulative results after salpingectomy in a randomized controlled trial. Hum. Reprod., 16, 2403-2410 .
16. Surrey E. S. and Schoolcraft W. B. (2001) Laparoscopic management of hydrosalpines before IVF-ET : salpingectomy versus proximal tubal occlusion. Fertil. Steril., 75, 612-617.
17. Taylor R. C., Berkowitz J. and McComb P.F. (2001) Role of laparoscopic salpingectomy in the treatment of hydrosalpinx. Fertil. Steril., 75, 594-600.
18. Vandromme J., Chasse E., Lejeune B., Van Rysselberge M., Delvigne A. and Leroy F.(1995) Hydrosalpinges in IVF : an unfavourable prognostic feature. Hum. Reprod. 10, 576-579 .



