Сонохистерографията (хидротубация) е нова технология, показваща по-добре изображението на маточната кухина. При нея под ултразвуков контрол в маточната кухина се вкарва стерилен физиологичен разтвор с гъвкав и пластичен катетер, поставен в шийката на матката. Физиологичният разтвор разширява маточната кухина и осигурява отличен контраст с маточната лигавица, като с това подобрява визуализацията на маточната и ендометриална патология. Тази технология може също така да се използва за оценка на маточните тръби чрез изливане на флуид към таза. Цветното доплерово изображение показва движението на ултразвуковите вълни през контрастната среда вътре в тръбите. С хидротубацията се проверява и проходимостта на маточните тръби – това е безболезнена процедура под ултразвуков контрол, след която често пъти може спонтанно да настъпи бременност поради реканализация на малки сраствания
Това е проста процедура, спосoбна да се прилага под ултразвуков контрол. Тя не изисква прилагането на успокоителни или болкоуспокояващи лекарства и е от полза преди хистероскопия и преди процедури, които изискват дилатация и кюртиране. (Няма пречка да бъде направена и на фона на обезболяващи препарати – бел. прев.)
Защо се извършва?
Главните причини за тази процедура са:
Неправилни маточни кръвотечения преди и след менупауза
Изследвания при безплодие и повтарящи се аборти
Оценка на маточната лигавица при пациенти, лекувани с Tamoxifen
За изясняване на образувания в маточната кухина
![]() Преди сонохистерография |
![]() След сонохистерография |
Тя позволява определяне наличието, естеството, размера, кръвоснабдяването и местоположението на образуванията в маточната кухина преди планирана операция.
В много случаи тя може да отхвърли необходимостта от по-нататъшни изследвания, когато няма значима ендометриална патология. Това е от особена важност в случаи на кървене около времето на менопауза, където най – честата причина е хормонален дисбаланс и няма полза от хирургична намеса.
При пациентите, подложени на това изследване по повод стерилитет, често има вероятност за полипи в маточната кухина, което може да е причина за невъзможността за зачеване. Процедурата е особено важна при онези пациенти, на които предстоят IVF процедури, при които полипите на маточната кухина могат да доведат до неуспех.
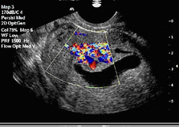
![]() Цветно доплерово изображение на маточни полипи, наблюдвана при сонохистерография. |
![]() 3D изображение на полипи на матката |
Пациенти с дълъг период на лечение с Tamoxifen по повод рак на гърдата показват склонност към развитие на полипи и ендометриална хиперплазия, както и понякога на карцином на ендометриума.
Въпреки че това е рядко усложнение, то е важен страничен ефект от терапията с Tamoxifen.
Матката ясно се разпознава с вагиналния ултразвук.
Процедурата
Сонохистерографията (хидротубацията) е ултразвукова мониторингова процедура, сходна с ХСГ (хистеросалпингография, цветна снимка) и се използва за откриване на аномалии на матката. Случаите, при които се използва, се застъпват с тези при цветната снимка. В този смисъл тя несъмнено е алтернатива на стандартната цветна снимка.
Сонохистерографията се прави в амбулаторни условия и обичайно включва:
Поставяне на спекулум във влагалището и позициониране на катетер в матката;
Физиологичен разтвор се инжектира в маточната кухина;
Процесът се контролира чрез трансвагинален ултразвук.
Сонохистерографията може да се използва за оценка на ендометриума. След хидротубацията често може да настъпи зачеване.
Инжектирането на солеви разтвор в маточната кухина раздалечава двете страни на ендометриума и подобрява визуализацията на някои структури, като напр. полипите. В допълнение, солевият разтвор служи за контрастно вещество, което позволява да се видят вътрематочни сраствания (синехии).
Превод от английски: Tania79 и Meli
Източник: http://www.nufw.com.au/sonohyst.htm



