Стерилитетът: Проблеми при жената
Публикувано на: 09.01.2007г.

Изследвания и прегледи при жената

По време на първата визита, докторът събира пълна и подробна информация за медицинската история и провежда физически преглед. Ако резултатите от спермограмата на партньора са нормални, докторът препоръчва тестове или диагностични процедури за жената, в зависимост от възрастта и цялостното здравословно състояние. Някои процедури могат да бъдат проведени в лекарския кабинет,

докато други се правят само в болница със специализирано диагностично и хирургическо оборудване.

Прегледите за стерилитет включват пълни изследвания на репродуктивните органи

Медицинска история

Докторът задава различни въпроси касаещи медицинската история на пациентката. Жената трябва да се увери, че е споменала всички по-раншни операции, бременности и прекъсвания на бременности, болести предавани по полов път, преболедувани тазови инфекции. Докторът се интересува и от менструалният цикъл на жената и честотата на полови контакти.

Физически преглед

Докторът проверява цялостното физическо състояние - развитието на гърдите, разпределението на мастната тъкан и окосмяването по тялото като индикатори на хормоналната активност. Извършва се преглед на тазовите отгани за да се прегледат яйчниците и другите органи за болезненост, подутини, инфекции или образувания.

Изследвания за стерилитет

В зависимост от възрастта, здравето на пациентката и от резултатите от първоначалния преглед, изследванията за стерилитет могат да започнат с най-простите и най-безобидни тестове. Някои от тези тестове е нужно да се повторят за да се потвърди диагнозата.

Посявки от цервикалната слуз

Пробите от цервикалния секрет се изследват за признаци на болести предавани по полов път или други инфекции. Те могат да попречат на възможността за забременяване причинявайки възпаление или вреда върху репродуктивните органи.

Кръвен тест

Разнообразните кръвни тестове могат да разкрият по-раншни тазови инфекции и да измерят нивата на тироидните, хипофизиарните или яйчниковите хормони по време на менструания цикъл. Кръвните тестове също помагат да се установи дали овулацията протича нормално .

Посткоитален тест

Проба от цервикалната слуз на жената се изследва кратко време след като е имала полов контакт, обикновено в рамките на 12 часа. Този тест може да даде информация за качеството на цервикалната слуз, доколко е подходяща да осигури нормално “плуване” на сперматозоидите през нея. Посткоиталния тест обикновено се прави един или два дни преди овулация, когато цервикалният секрет е най-благоприятен за сперматозоидите.

Ултразвуков преглед

Този образен преглед използва високочестотни звукови вълни за да произведе картина на вътрешните органи. Проведен през различни дни на менструалния цикъл, ултразвукът показва дали фоликулите се развиват адекватно и дали настъпва овулация. Ултразвукът може да открие също и кисти, фиброиди, да установи дебелината на маточната лигавица (ендометриум). При вагиналният ултразвук, малка сонда се вмъква през влагалището близко до шийката на матката.

 

Хистероскопия

Вътрешен поглед на матката и маточната шийка може да се осъществи посредством хистероскопия . Докторът може да види образувания или други проблеми през малък осветяващ телескоп (хистероскоп) вмъкнат през отворената шийка на матката. Тази процедура се прави обикновено след менструация, за да се получи най-чиста картина на вътрешността на матката.

 

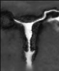
HSG

Хистеросалпингографията (HSG) е рентегнова снимка използвана за установяване на запушвания на тръбите и маточни проблеми. Инжектира се контрастно вещество през шийката на матката и се прави рентгеновата снимка. Това изследване се прави обикновено след менструация и преди овулация.

инжектирано контрастно вещество

 

Ендометриална биопсия

С ендометриалната биопсия, маточната лигавица (ендометриум) се се изследва за да се установи нейната реакция на хормоните. Това изследване може да разкрие дали прогестерона подготвя матката за имплантацията на оплодената яйцеклетка. По този начин може да се открие и възпаление на матката. Посредством малък катетър вмъкнат през цервикалния канал, се взима малка проба от ендометриума за микроскопско изследване. Това обикновено се прави от два до четири дни преди менструацията.

 

Лапароскопия

С лапароскопия могат да се разгледат тъканите и образувания по външната повърхнина на репродуктивните органи. Докторът разглежда органите през малък осветяващ телескоп (лапароскоп) вмъкнат през тънък разрез близо до пъпа. За да не се чувства болка от пациентката се използва упойка. Тази процедура може да се проведе през различни дни от менструалния цикъл.


Проблеми с овулацията

Ако изследванията покажат, че овулацията не е нормална, лекарят обикновено предлага хормонална терапия, под формата на хапчета или инжекции. Възрастта, здравословното състояние и история на заболяването трябва да бъдат преценени преди изписването на хормони. Нужна е консултация с доктора какво е влиянието на тези лекарства върху овулацията, как да сеприемат и какви са страничните им ефекти. Важно е да се интересуваме от всичко, което ни се струва неясно

Рядко настъпващата, нередовна или отсъстваща менструация могат да бъдат причинени от:

Нарушена функция на хипофизната жлеза, когато не се отделя правилното количество хормони.

Поликистозните яйчници, които образуват миниатюрни кисти и водят до невъзможност за овулация.

Недостатъчно дългата лутеална фаза означава, че матката не е достатъчно подготвена за имплантацията на оплодената яйцеклетка, поради недостиг на прогестерон.

Преждевременната менопауза означава, че менструацията е спряла.

Има лекарства, които биха могли да помогнат да се повиши шанса за забременяване.

Нужно е да попитаме своя лекар за повече информация.


цикъл без овулация


цикъл с овулация

 

Лечение при жените

Дори когато овулацията е протекла нормално, сперматозоидите могат да срещнат трудности при достигането на яйцеклетката или оплодената яйцеклетка не може да се имплантира в матката. Подобни проблеми често се лекуват с медикаментозно лечение или хирургична намеса.

Подобряване преминаването на сперматозоидите

През шийката на матката

Сперматозоидите могат да не се движат гладко през шийката на матката поради един от следните проблеми:

Инфекциите могат да възпрепятстват лесното преминаване на сперматозоидите през репродуктивния тракт. Често проблема се коригира с антибиотици.

Твърде малкото цервикална слуз може да задържи преминаването на сперматозоидите. Лечението включва естрогеново лечение или прибягване до вътрематочна инсеминация (IUI — вмъкване на сперматозоиди директно в матката) за да се прескочи цервикалната слуз.

Спермоантителата
причиняват проблеми, защото взаимодействат със сперматозоидите като ги разрушават или задържат.

 



Ако сперматозоидите не се движат гладко през шийката на матката, проблемът може да е свързан с инфекция, недостиг на цервикална слуз или наличие на спермоантитела. Лечението е медикаментозно или чрез вътрематочна инсеминация (IUI).

 

През фалопиевите тръби

Различни фактори могат да увредят фалопиевите тръби, непозволявайки на сперматозоидите да преминават през тях.

Адхезии (сраствания) (тъканни сраствания формирани от инфекция във фалопиевите тръби) могат да увредят и дори да запушват тръбите. Често хирургическата намеса е решение на проблема ако тръбите не са много увредени.

Слузеста запушалка може да запуши фалопиевата тръба в близост до матката. Проблемът се решава чрез вмъкването на тънък катетър през маточната шийка в запушената тръба.

Стерилизиране на тръбата има, когато те се намира в много тежко състояние. Може да бъде възстановена посредством микрохирургия, като се позволи на сперматозоидите да преминават през нея.


Ако фалопиевите тръби са запушени, наранени, възможно е сперматозоидите да не могат да преминат през тях и да достигнат яйцеклетката. Често проблема се решава с хирургична намеса.

 

Подобряване на имплантацията
в матката

Оплодената яйцеклетка може да не може да се имплантира в матката поради следните причини:

Сраствания вътре в матката (адхезии) или неправилности в матката като биологична преграда (septum) могат да възпрепятстват имплантацията. Тези проблеми могат да бъдат решени чрез хистероскопска хирургия.

Фиброиди (доброкачествени образувания от гладка мускулна тъкан) понякога могат да пораснат вътре или около матката. Те могат да бъдат отстранени (миомектомия) с абдоминална или хистероскопска хирургия. Понякога се използват лекарства за да се намали размера на фиброида преди операцията.


Сраствания, фиброиди, в матката могат да възпрепятстват имплантирането на оплодената яйцеклетка. Често решението е медикаментозно или свързано с хирургична намеса.

 

Лечение на ендометриозата

Ендометриоза се получава, когато тъкан от вътрематочната лигавица (ендометриум) се разрасне във или върху други органи на репродуктивната система, като яйчници или сухожилия. Това може да доведе до срастване на засегнатите органи и стерилитет. За да се преодолее този проблем се прилагат лапароскопска хирургия, хормонална терапия, а понякога и двете.

лапароскопски поглед от върха на матката показва ендометриалните разраствания във или върху други репродуктивни органи. Лечението включва хирургия или хормонална терапия.





материалът е преведен и оформен от: watercolours и cygnus